
ブログ
スタッフブログ
ホワイトニングをした歯について
宇都宮市オリオン通りの歯医者ゆざわや歯科クリニックです。

こちらの写真は、院長の息子さんの歯です。
ホワイトニングをした歯で、バイト先で歯が白いと言われているそうですが、いかがでしょうか。
院長いわく、治療費をもらっていないわりには白くなったとのことです。

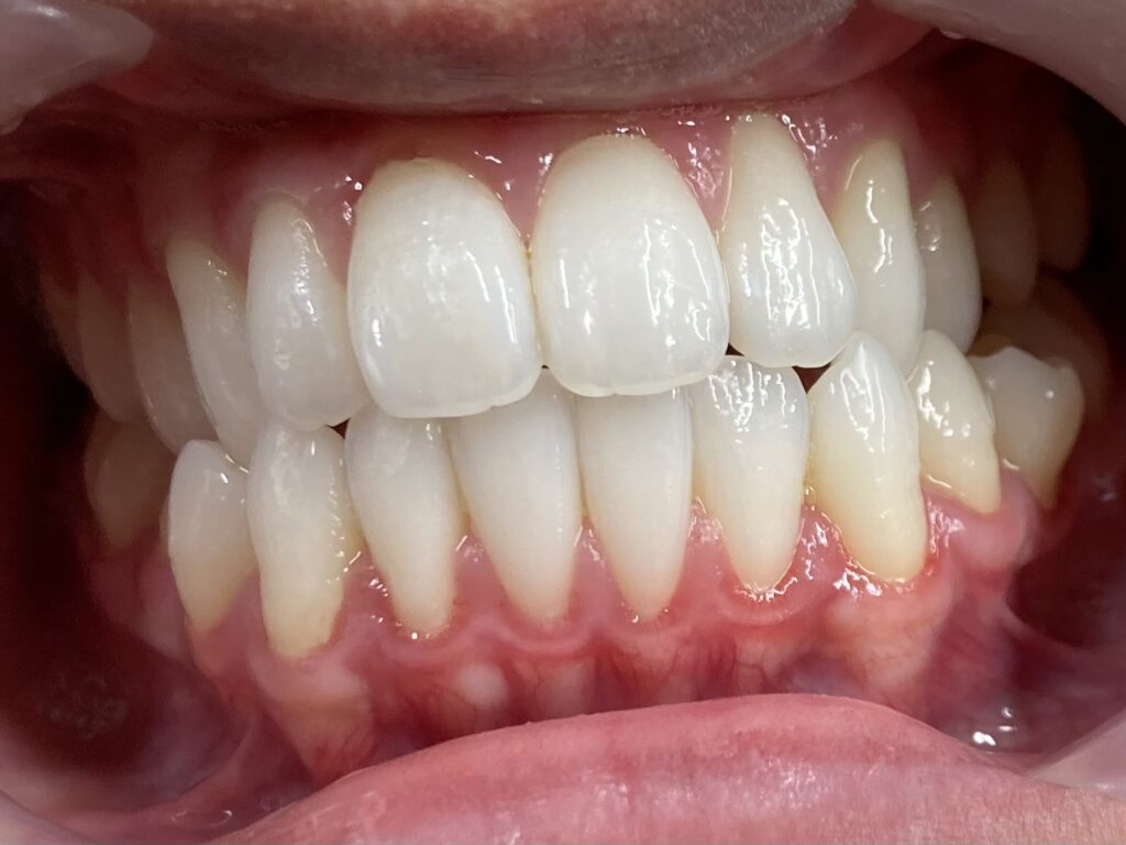
宇都宮市オリオン通りの歯医者ゆざわや歯科クリニックです。

こちらの写真は、院長の息子さんの歯です。
ホワイトニングをした歯で、バイト先で歯が白いと言われているそうですが、いかがでしょうか。
院長いわく、治療費をもらっていないわりには白くなったとのことです。