Concept
私たちが
大事にしていること
院長紹介

当院は「痛みの少ない治療」にこだわり患者さんにとって苦痛を感じにくい治療を心掛けます。
患者さんと十分なお話をさせて頂き、安心して診療台に座って頂くことだと考えております。
皆さんに愛され、信頼される医療を心がけて、サービスの提供に努めてまいります。これからもゆざわや歯科クリニックをよろしくお願い致します。
診療案内
-
痛みの少ない治療
「痛みの少ない治療」にこだわり患者さんにとって苦痛でない治療を心掛けます。
-
一般歯科
・予防歯科虫歯や歯周病、入れ歯などの治療や予防、歯の全般の治療を行います。
-
審美歯科
機能性と審美性を兼ね備えた美しい口元を目指します。
-
矯正歯科
成人でも矯正治療は可能です。歯並びが気になる方は年齢関係なくご相談下さい。
-
インプラント
噛み心地も見た目も自分の歯のように仕上げることのできる治療法です。
-
歯周病治療
歯周病は口の病気だけではなく、全身の健康にも影響がある恐ろしい病気です。
-
ホワイトニング
歯自体の色調をコントロールし、白く美しい口元になり、笑顔に自信を取り戻しましょう。
-
口臭治療
口の臭いが気になる方へ4つの口臭改善プログラムで口臭の改善を行います。
Wedding
人生で最も輝く日に、

人生で最も輝く日に、
最高の笑顔で大切な日を迎えよう
結婚式を迎えられる方は、多くの方々からの祝福に最高の笑顔で応えたいと思うものではないでしょうか。
当院では、ブライダルホワイトニング・ブライダル審美を行っております。人生最高の1日をより一層素敵な自分にしてみませんか?
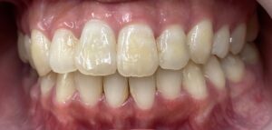
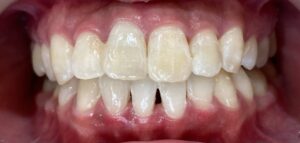
CASE 症例紹介
ゆざわや歯科クリニック
〒320-0803
宇都宮市曲師町2-12 ゆざわやビル2F
028-635-8050
繋がらない場合はこちら
休診日:木曜・日曜・祝日
| 診療時間 | 月 | 火 | 水 | 木 | 金 | 土 | 日/祝 |
|---|---|---|---|---|---|---|---|
| 9:00~12:00 | ● | ● | ● | / | ● | ● | / |
| 14:00~19:30 | ● | ● | ● | / | ● | ● | / |
休診日:木曜日・日曜日・祝日
※学会・セミナー等で休診日以外にも休診になる場合がございます。
その場合はお知らせで事前にお伝え致します。
平日の夕方は特に混みます。お時間に余裕を持ってお越しください。
〒320-0803
宇都宮市曲師町2-12 ゆざわやビル2F
- [診療時間]
- 9:00~12:00 / 14:00~19:30
- [休診日]
- 木曜 / 日曜 / 祝日





